Replacing the use of animals in research can involve one-to-one replacement or a combination of advanced techniques such as epidemiological studies of human populations, research into human genetics, stem cell research and other human tissue use.
Alternatives to the use of animals, for example, in drug development and safety testing include databases of known information, sophisticated analytical techniques, computer simulations and modelling, human tissue and 3D cell cultures and high throughput screening for rapid analysis of compounds for drug discovery.
Organ-on-a-chip models such as the lung-on-a-chip mimics the movements of the breathing lung and can also “provide low-cost alternatives to animal and clinical studies for drug screening and toxicology applications”.
Microdosing involves giving a tiny amount of a compound – less than 100th of the pharmacological dose – to a human volunteer and analysing the breakdown of the drug from a blood or urine sample, shown to be 70-80% predictive of the pharmacological dose response in people.
Many non-animal techniques are already used before animal tests, but regulations still require animal tests.
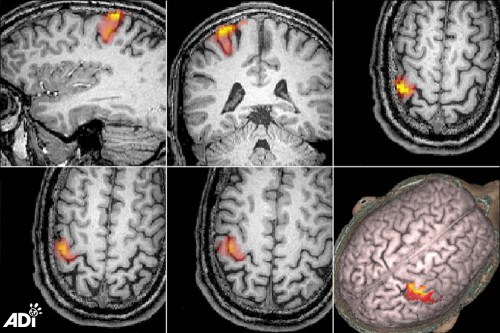
Advanced human brain imaging
Primates are frequently used in brain research and they suffer enormously. There are fundamental differences between species, so adoption of new techniques in neuroscience is vital.

For a decade, the Lord Dowding Fund (LDF) funded the neuroimaging group at the Aston Brain Centre (ABC), headed by Professor Paul Furlong, which is now a world-leading Centre of Excellence for brain development and imaging studies. The ABC engages in a wide range of research activities studying human behaviour and brain function. The group works to establish how new techniques may be used to replace animal experiments. Projects include vision, neurodevelopment and clinical research, cognition and pharmacokinetics (drug characteristics).
The team examined the effect of a drug, Zolpidem, on a stroke patient. Zolpidem is typically used to treat insomnia and belongs to a class of drugs called sedative hypnotics. Several studies have shown that the drug can provide transient improvement in the condition of patients, which was repeated when the drug was re-administered. The work at Aston involved MRI and MRS scans of the patient, designed to characterise both the anatomical and chemical damage caused by the stroke. Changes in brain circulation and activity were identified and administration of the drug showed improved circulation in the affected half of the brain.
Another study, that could not possibly be conducted with any reliability in animals, involves the differences in the brain when participants are critical or reassuring towards themselves. Self-criticism has been strongly correlated with a range of conditions such as depression, anxiety and eating disorders, and “self-reassurance” is inversely associated with the same conditions. As little is known about the neurophysiology of these internal processes, the group used a new fMRI task to investigate. Results indicated self-criticism was linked to activity in the areas of the brain which are connected to error processing and resolution, and behavioural inhibition. Self-reassurance was linked to the brain areas responsible for compassion and empathy towards others. This work is useful for showing the neural basis for certain mood disorders and cannot be carried out on animals. Studies such as these show the elegance and real scientific relevance of cutting-edge technologies.
Replacing animals in education

For a quarter of a century, the LDF funded David Dewhurst in his work to develop and refine software packages replacing animal use on physiology and pharmacology courses. The work has ensured that the students’ learning experience is humane, teaching them to use advanced techniques rather than animals.
Examples of the animal experiments being replaced include the guinea pig ileum program, which simulates an isolated preparation of a part of the guinea pig intestine. In the animal model, this is tissue that has been removed from the guinea pig prior to its death. The aim of this practical is to explore the effect of drugs and electrical stimulation on the release of, and response to, neurotransmitters in the nervous system in the intestine. The computer simulation enables a range of drugs to be used, alone or in combination and over a range of doses. A “magic” wash facility allows the model to be instantly cleaned of all prior traces of drugs, and further experiments to be conducted, thereby speeding up the learning process. This is not the case when using animal tissue.
Another programme is the “Langendorff Heart”. This is interactive and simulates experiments that may be performed on the isolated perfused mammalian heart. The program covers the effects of various classes of drugs and the effect of ions. The simulated data are derived from actual experimental data. An independent review of the Langendorff heart programme stated that it is “suitable for the total replacement of an animal lab, thus offering a solution to the difficulties involved in running the animal lab.” To make these exciting alternatives to animal use available to students across the world many topics have been translated into languages including Chinese, Spanish, Ukrainian, Romanian and Lithuanian.
Brain tumour research
20-30% of cancers spread into the brain at some stage, thereby adversely affecting the prognosis for the patient. These brain “secondaries” are difficult to treat and bring with them a reduced quality of life.

Unfortunately, the molecular basis for cancer spreading to the brain is largely uncharted. To closely examine the cellular and molecular events which occur during this process a model developed by the researchers at Portsmouth University, with the support of the LDF, included a number of essential elements. The in vitro “all human” 3D model of the blood-brain barrier is comprised of human endothelial cells (which surround the blood vessels), astrocytes (star-shaped support cells) and pericytes (cells which surround the endothelial cell layer) and basal laminae (a layer of protein which is produced by certain cells).
The team studied the interaction of metastatic cancer cells from cancers from different origins with this barrier and monitored events using live cell imaging methods. In addition, the expression of specific proteins and genes thought to play a role in this process were studied.
Animal research focusing on agents and drugs passing across the blood-brain barrier is mainly studied in rodents and previous blood-brain barrier in vitro models have invariably used cells sourced from non-human animals. This all-human blood-brain barrier model therefore represents a great leap forward in the study of mechanisms of brain tumours metastasise, which will not only contribute to an end to animal suffering, but which also represents a real opportunity to make discoveries which benefit human health.
Other human relevant studies advanced with funding include:
- the study of back pain with in vitro research of the cellular changes involved in intervertebral disk degeneration;
- an infection model where bacteria are incubated instead of grown inside animals;
- human tissue models for the study of liver cancer and how colon cancer spreads to the liver;
- testing the efficacy of anti-cancer drugs in human cancer cell lines cultured in human serum;
- the use of the human testicular tissue, obtained from biopsies, which maintain cellular function, to study infertility;
- the use of an in vitro model of human liver cells infected with the hepatitis B virus to study disease mechanisms;
- an animal-free analytical method for the monitoring of shellfish toxins, which traditionally involved the use of mice;
- financing a state-of-the-art ultrasound system for non-invasive measures in early detection of vascular disease;
- the UK Human Tissue Bank was able to purchase a new High Pressure Liquid Chromatography machine to characterise human tissue for particular scientific requirements.